Piombo contro gli husky, Cloe non si trova: “Chi sa qualcosa, si faccia vivo presto”

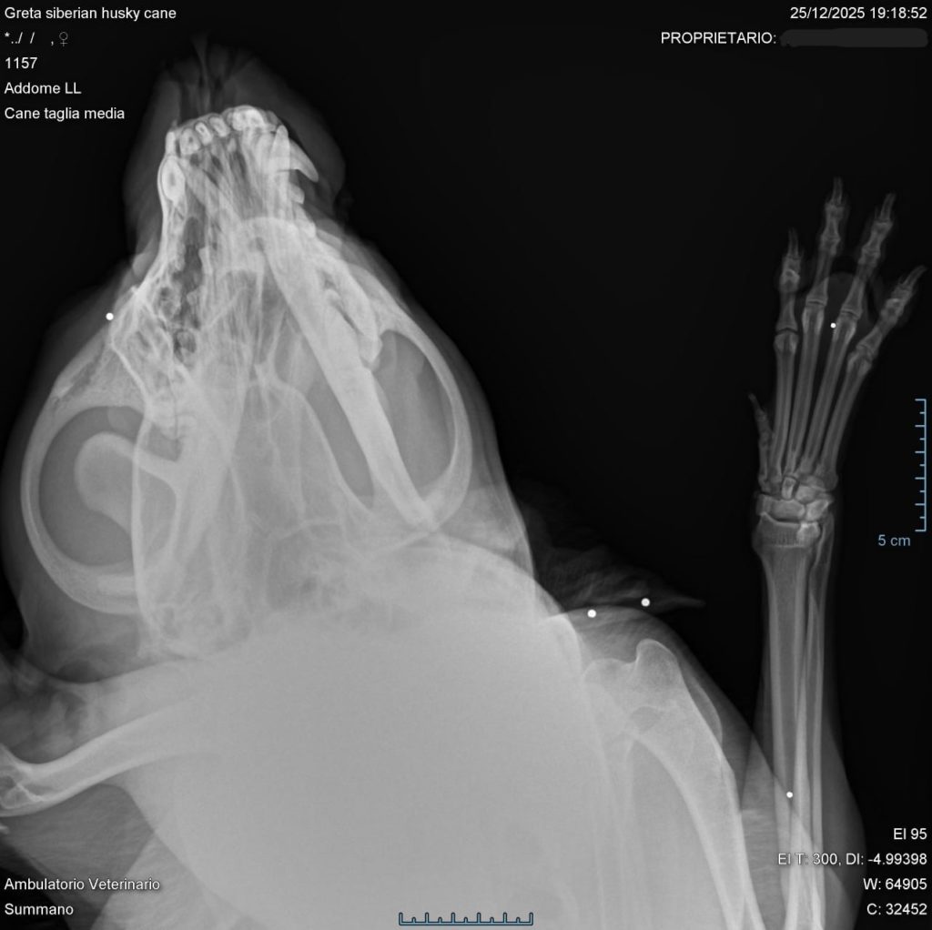
“Chi sa qualcosa, parli. Io continuerò a cercare, anche se temo le sia successo qualcosa di brutto”. Non si dà pace Angrete, la giovane proprietaria di due femmine di siberian husky che la notte della Vigilia di Natale sono scappate dal cortile di casa a Valli del Pasubio. Una, Greta, è tornata sporca di sangue, mentre la seconda, Cloe, non ha più fatto ritorno.
Secondo quanto ricostruito dalla ragazza, i cani – probabilmente spaventati da qualche rumore molesto e trovando il cancelletto socchiuso – si sarebbero allontanati di casa attorno alla mezzanotte. Pochi minuti dopo Angrete era già sulle sue tracce, ma è qui che accade l’inspiegabile: tre spari, in rapida successione, squarciano il silenzio. Greta rincasa dopo qualche minuto, atterrita e sporca di sangue, la “sorella” purtroppo no. Le ricerche proseguono, ma senza esito e l’indomani la proprietaria si rivolge ad una clinica veterinaria per appurare eventuali ferite: “Greta aveva addosso nove pallini in piombo – spiega la ragazza di Valli – fortunatamente subiti di rimbalzo. Questo ci ha quindi confermato che davvero qualcuno aveva sparato, intenzionalmente, in direzione dei cani con la volontà di ferire mortalmente”.

Assai difficile pensare che qualcuno possa aver agito scambiandole per lupi: un lupo pesa in genere dai 35 ai 68 chilogrammi, gli husky si fermano a 27. Il lupo è più alto e ha un torace più stretto e allungato, con un cranio più grande e massiccio, circa il 35% più dell’husky: “Se qualcuno ha sparato, probabilmente ha un porto d’armi e dovrebbe ben sapere quello che fa – asserisce Angrete – fatico quindi a immaginare l’errore. Io voglio solo sapere cosa è successo e voglio continuare a sperare di poter riabbracciare la mia Cloe. Mi basta anche uno scritto anonimo: magari è ferita, il tempo fa la differenza per non lasciarla chissà dove agonizzante”. Parole che, più che un giudizio, cercano di muovere a compassione. Credere a una cattiveria gratuita sarebbe troppo, non la Vigilia di Natale, non contro due cagnolone affettuose e docili anche con gli estranei. E oggi, sulle tracce dell’husky, si metteranno anche i Carabinieri ai quali la proprietaria ha deciso di rivolgersi con una denuncia al momento contro ignoti. Sperando in un tardivo regalo di Natale che le riporti – ancora viva – l’amata Cloe.
L’Eco Vicentino è su Whatsapp e Telegram.
Iscriviti ai nostri canali per rimanere aggiornato in tempo reale.
Per iscriverti al canale Whatsapp clicca qui.
Per iscriverti al canale Telegram clicca qui.